الأخبار
آخر الأخبار
نشرة الأخبار
رياضة
ثقافة
السياحة في لبنان
أخبار لبنان
تقارير نشرة الاخبار
أمن وقضاء
فنّ
اخبار البرامج
حال الطقس
منوعات
صحة وتغذية
اقتصاد
خبر عاجل
علوم وتكنولوجيا
اسرار
أخبار دولية
موضة وجمال
عالم الطبخ
خبر كاذب
صحف اليوم
أخبار أخرى
رياضة
ثقافة
السياحة في لبنان
أخبار لبنان
تقارير نشرة الاخبار
أمن وقضاء
فنّ
اخبار البرامج
حال الطقس
منوعات
صحة وتغذية
اقتصاد
خبر عاجل
علوم وتكنولوجيا
اسرار
أخبار دولية
موضة وجمال
عالم الطبخ
خبر كاذب
صحف اليوم
بيروت
13
o
البقاع
5
o
الجنوب
14
o
الشمال
15
o
جبل لبنان
11
o
كسروان
15
o
متن
15
o
البث المباشر
بالفيديو
بالصوت
الجدول
البرامج
English
تشاهدون الآن
نشرة أخبار ال 11:00
إشترك
الرئيسية
الاشعارات
البث المباشر
بالفيديو
بالصوت
البرامج
بيروت
13
o
البقاع
5
o
الجنوب
14
o
الشمال
15
o
جبل لبنان
11
o
كسروان
15
o
متن
15
o
الأخبار
البرامج
نشرة الأخبار
رياضة
آخر الأخبار
ثقافة
السياحة في لبنان
أخبار لبنان
الفساد في لبنان
تقارير نشرة الاخبار
أمن وقضاء
فنّ
اخبار البرامج
رأي حر
دعوى القوات ضد بيار الضاهر والـ LBCI
حال الطقس
منوعات
صحة وتغذية
رياضة
اقتصاد
خبر عاجل
مقدمة نشرة الاخبار
علوم وتكنولوجيا
اسرار
أخبار دولية
موضة وجمال
عالم الطبخ
خبر كاذب
صحف اليوم
البرامج
مسلسلات
أفلام
وثائقيات
منوعات
كوميديا
برامج حوارية
نشرات الأخبار
الأخبار العاجلة
آخر الأخبار
أبرز الأخبار
الأكثر قراءة
بالفيديو
English
شاهد أحدث البرامج وآخر المستجدات على شاشتك المفضلة
موقع البرامج
انضم الى ملايين المتابعين
من نحن
اتصل بنا
أعلن معنا
وظائف
ترددات القنوات
سياسة الخصوصية
الشروط والأحكام
لم تكن قادرة على ارتداء الأحذية وتواجه صعوبة بالمشي... إبنة الـ12 سنة عانت كثيرا والسبب: أصابع قدمها العملاقة! (صور)
منوعات
2023-11-02 | 03:11
مشاهدات عالية
شارك
شارك
2
min
لم تكن قادرة على ارتداء الأحذية وتواجه صعوبة بالمشي... إبنة الـ12 سنة عانت كثيرا والسبب: أصابع قدمها العملاقة! (صور)
لم تكن قادرة على ارتداء الأحذية وتواجه صعوبة بالمشي... إبنة الـ12 سنة عانت كثيرا والسبب: أصابع قدمها العملاقة! (صور)
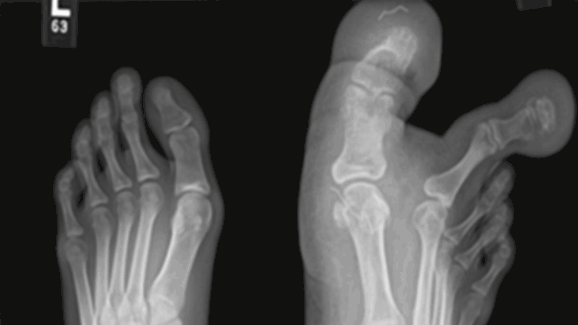
نشر الأطباء صوراً لرجل فتاة ولدت بإصبعين عملاقين في قدمها.
وتم تشخيص حالة الطفلة البالغة من العمر 12 عامًا بأنها مصابة بالحثل الشحمي الكبير (MDL)، وهو عيب خلقي يتسبب في توسع العظام والأنسجة والأعصاب في إصبع القدم الكبير والثاني في قدمها اليمنى.
"عملقة" الفتاة التي لم يذكر اسمها جعلت من الصعب عليها المشي وارتداء الأحذية.
وتم تشخيص التشوه لدى المريضة عند ولادتها، لكنها لم تحضر زيارة متابعة للأطباء منذ ذلك الحين.
وطلب والداها، اللذان يعيشان في العاصمة الماليزية كوالالمبور، المساعدة عندما تفاقم تشوه قدم ابنتهما، وفق ما نقل
ذا صن
.
وقال الدكتور سري أرون سيلفام، جراح العظام في المركز الطبي بجامعة كيبانجسان: "كشفت الصور الشعاعية البسيطة ونتائج التصوير بالرنين المغناطيسي عن تراكم الأنسجة الدهنية حول إصبع القدم الأول والثاني، والجوانب الوسطى والجانبية لمشط القدم الأول، وتمتد حتى القوس الأخمصي الأوسط للقدم."
وتابع: "إن MDL هو نوع غير شائع جدًا من العملقة الخلقية الموضعية، وغالبًا ما يتم إجراء الاستشارة الجراحية لأسباب تجميلية."
ولتحسين وظيفة القدم، أجرى الفريق الطبي عملية إعادة بناء ناجحة.
وبسبب هذا، تستطيع الطفل الآن ارتداء الأحذية والمشي بشكل صحيح.
وعادة ما يحدث الحثل الشحمي الكبير بشكل عشوائي وليس أمرا وراثيا.
ويمكن أن يتم تشخيصه بشكل خاطئ على أنه ورم ليفي عصبي، وهي أورام حميدة نادرة وبطيئة النمو في العصب المحيطي.
آخر الأخبار
منوعات
قادرة
ارتداء
الأحذية
وتواجه
صعوبة
بالمشي...
الـ12
كثيرا
والسبب:
أصابع
قدمها
العملاقة!
(صور)
التالي
برفقة زوجها الملك عبدالله… الملكة رانيا تودّع عامًا وتستقبل آخر بصورة عفوية (صورة)
اخترنا لكم
d-none hideMe
0
منوعات
06:28
بدائل طبيعية لتلوين بيض الفصح… ألوان من المطبخ بدل المواد الصناعية
منوعات
06:28
بدائل طبيعية لتلوين بيض الفصح… ألوان من المطبخ بدل المواد الصناعية
0
منوعات
05:30
بعد البابا يوحنا بولس الثاني... البابا لاون الرابع عشر يحمل الصليب كاملاً في درب الصليب في الجمعة العظيمة (فيديو)
منوعات
05:30
بعد البابا يوحنا بولس الثاني... البابا لاون الرابع عشر يحمل الصليب كاملاً في درب الصليب في الجمعة العظيمة (فيديو)
0
منوعات
2026-04-03
الحرب تغيّر ملامح العيد في دبي... إلغاء القداديس في ظل الأوضاع الراهنة
منوعات
2026-04-03
الحرب تغيّر ملامح العيد في دبي... إلغاء القداديس في ظل الأوضاع الراهنة
0
منوعات
2026-04-02
رياح عاتية وفيضانات محلية.... عاصفة صحراوية تخنق اليونان!
منوعات
2026-04-02
رياح عاتية وفيضانات محلية.... عاصفة صحراوية تخنق اليونان!
إشترك لمشاهدة الفيديوهات عبر الانترنت
إشترك
زوارنا يقرأون الآن
d-none hideMe
0
أخبار لبنان
2026-04-02
وزير الداخلية عرض مع اللقيس لواقع الأشخاص المعوقين في ظل النزوح
أخبار لبنان
2026-04-02
وزير الداخلية عرض مع اللقيس لواقع الأشخاص المعوقين في ظل النزوح
0
حال الطقس
2026-03-26
أمطار متقطعة حتى الجمعة… ومنخفض آخر الأحد
حال الطقس
2026-03-26
أمطار متقطعة حتى الجمعة… ومنخفض آخر الأحد
0
أخبار دولية
2026-03-02
روبيو: الولايات المتحدة شنت هجوما استباقيا على إيران بعد علمها بخطط إسرائيل
أخبار دولية
2026-03-02
روبيو: الولايات المتحدة شنت هجوما استباقيا على إيران بعد علمها بخطط إسرائيل
0
آخر الأخبار
15:01
وزارة الصحة الإسرائيلية: نقل 113 مصابا إلى المستشفيات خلال الساعات الأربع والعشرين الماضية
آخر الأخبار
15:01
وزارة الصحة الإسرائيلية: نقل 113 مصابا إلى المستشفيات خلال الساعات الأربع والعشرين الماضية
بالفيديو
d-none hideMe
0
أخبار دولية
16:42
إرجاء جلسة الكابينت الإسرائيلي... إليكم التفاصيل
أخبار دولية
16:42
إرجاء جلسة الكابينت الإسرائيلي... إليكم التفاصيل
0
أخبار لبنان
16:25
هكذا يبدو الوضع عند نقطة المصنع بعد التهديد الإسرائيلي
أخبار لبنان
16:25
هكذا يبدو الوضع عند نقطة المصنع بعد التهديد الإسرائيلي
0
تقارير نشرة الاخبار
13:38
علما الشعب تلملم بعضها في بيروت
تقارير نشرة الاخبار
13:38
علما الشعب تلملم بعضها في بيروت
0
تقارير نشرة الاخبار
13:28
الحرب الإيرانية الأميركية الإسرائيلية مستمرة حتى إشعار آخر؟
تقارير نشرة الاخبار
13:28
الحرب الإيرانية الأميركية الإسرائيلية مستمرة حتى إشعار آخر؟
0
تقارير نشرة الاخبار
13:25
سباق الدفاعات الجوية… هكذا تستعد الدول لحروب السماء
تقارير نشرة الاخبار
13:25
سباق الدفاعات الجوية… هكذا تستعد الدول لحروب السماء
0
تقارير نشرة الاخبار
13:23
تطور عسكري لافت: إسقاط طائرات أميركية وتصاعد التوتر بين واشنطن وطهران
تقارير نشرة الاخبار
13:23
تطور عسكري لافت: إسقاط طائرات أميركية وتصاعد التوتر بين واشنطن وطهران
0
تقارير نشرة الاخبار
13:22
إنذار في السفارة الأميركية في لبنان… تهديد حقيقي أم إنذار عابر؟
تقارير نشرة الاخبار
13:22
إنذار في السفارة الأميركية في لبنان… تهديد حقيقي أم إنذار عابر؟
0
تقارير نشرة الاخبار
13:20
الجنوب والبقاع الغربي تحت النار الإسرائيلية... اليكم خريطة الإعتداءات اليوم
تقارير نشرة الاخبار
13:20
الجنوب والبقاع الغربي تحت النار الإسرائيلية... اليكم خريطة الإعتداءات اليوم
0
تقارير نشرة الاخبار
13:19
الكابينت يبحث مصير التوغل في جنوب لبنان...
تقارير نشرة الاخبار
13:19
الكابينت يبحث مصير التوغل في جنوب لبنان...
الأكثر قراءة
d-none hideMe
24 ساعة
7 أيام
شهر
1
أمن وقضاء
14:35
أدرعي يوجه تحذيرا عاجلا إلى جميع المتواجدين في منطقة معبر المصنع وإلى جميع المسافرين على طريق M30
أمن وقضاء
14:35
أدرعي يوجه تحذيرا عاجلا إلى جميع المتواجدين في منطقة معبر المصنع وإلى جميع المسافرين على طريق M30
2
أمن وقضاء
02:13
المشهد من بلدة الدوير...
أمن وقضاء
02:13
المشهد من بلدة الدوير...
3
أمن وقضاء
06:41
تحذير اسرائيلي لسكان مدينة صور وحمادية وزقوق المفدي وبرج الشمالي...
أمن وقضاء
06:41
تحذير اسرائيلي لسكان مدينة صور وحمادية وزقوق المفدي وبرج الشمالي...
4
أمن وقضاء
01:34
في صور... غارة على مركب سياحي واستشهاد أحد الصيادين
أمن وقضاء
01:34
في صور... غارة على مركب سياحي واستشهاد أحد الصيادين
5
أخبار دولية
11:18
اندونيسيا تستقبل جثث ثلاثة من جنودها في اليونيفيل قضوا في جنوب لبنان
أخبار دولية
11:18
اندونيسيا تستقبل جثث ثلاثة من جنودها في اليونيفيل قضوا في جنوب لبنان
6
فنّ
12:30
ريتا حايك تعلن ولادة ابنها: "عيلتنا اكتملت" (صورة)
فنّ
12:30
ريتا حايك تعلن ولادة ابنها: "عيلتنا اكتملت" (صورة)
7
أمن وقضاء
16:30
انذار إسرائيلي إلى سكان كفرحتى: عليكم اخلاء بيوتكم فوراً والابتعاد عن القرية لمسافة 1000 متر على الأقل
أمن وقضاء
16:30
انذار إسرائيلي إلى سكان كفرحتى: عليكم اخلاء بيوتكم فوراً والابتعاد عن القرية لمسافة 1000 متر على الأقل
8
خبر عاجل
01:33
معلومات للـLBCI: قوة اسرائيلية تختطف المواطن سامي عماد صعب من شبعا عند دخولها قرابة الساعة الثالثة فجرا إلى البلدة وتحديداً الى منطقة نبع عين الجوز
خبر عاجل
01:33
معلومات للـLBCI: قوة اسرائيلية تختطف المواطن سامي عماد صعب من شبعا عند دخولها قرابة الساعة الثالثة فجرا إلى البلدة وتحديداً الى منطقة نبع عين الجوز
حمل الآن تطبيق LBCI للهواتف المحمولة
للإطلاع على أخر الأخبار أحدث البرامج اليومية في لبنان والعالم
Google Play
App Store
We use
cookies
We use
cookies
to make
your experience on this
website better.
Accept
Learn More