الأخبار
آخر الأخبار
نشرة الأخبار
رياضة
ثقافة
السياحة في لبنان
أخبار لبنان
تقارير نشرة الاخبار
أمن وقضاء
فنّ
اخبار البرامج
حال الطقس
منوعات
صحة وتغذية
اقتصاد
خبر عاجل
علوم وتكنولوجيا
اسرار
أخبار دولية
موضة وجمال
عالم الطبخ
خبر كاذب
صحف اليوم
أخبار أخرى
رياضة
ثقافة
السياحة في لبنان
أخبار لبنان
تقارير نشرة الاخبار
أمن وقضاء
فنّ
اخبار البرامج
حال الطقس
منوعات
صحة وتغذية
اقتصاد
خبر عاجل
علوم وتكنولوجيا
اسرار
أخبار دولية
موضة وجمال
عالم الطبخ
خبر كاذب
صحف اليوم
بيروت
14
o
البقاع
9
o
الجنوب
13
o
الشمال
13
o
جبل لبنان
11
o
كسروان
14
o
متن
14
o
البث المباشر
بالفيديو
بالصوت
الجدول
البرامج
English
تشاهدون الآن
نشرة الأخبار المسائية
إشترك
الرئيسية
الاشعارات
البث المباشر
بالفيديو
بالصوت
البرامج
بيروت
14
o
البقاع
9
o
الجنوب
13
o
الشمال
13
o
جبل لبنان
11
o
كسروان
14
o
متن
14
o
الأخبار
البرامج
نشرة الأخبار
رياضة
آخر الأخبار
ثقافة
السياحة في لبنان
أخبار لبنان
الفساد في لبنان
تقارير نشرة الاخبار
أمن وقضاء
فنّ
فيروس كورونا
اخبار البرامج
رأي حر
دعوى القوات ضد بيار الضاهر والـ LBCI
حال الطقس
منوعات
صحة وتغذية
رياضة
اقتصاد
خبر عاجل
مقدمة نشرة الاخبار
علوم وتكنولوجيا
اسرار
أخبار دولية
موضة وجمال
عالم الطبخ
خبر كاذب
صحف اليوم
البرامج
مسلسلات
أفلام
وثائقيات
منوعات
كوميديا
برامج حوارية
نشرات الأخبار
الأخبار العاجلة
آخر الأخبار
أبرز الأخبار
الأكثر قراءة
بالفيديو
English
شاهد أحدث البرامج وآخر المستجدات على شاشتك المفضلة
موقع البرامج
انضم الى ملايين المتابعين
من نحن
اتصل بنا
أعلن معنا
وظائف
ترددات القنوات
سياسة الخصوصية
الشروط والأحكام
في لبنان... أطباء يزيلون "حصوة مهبلية" نادرة من حوض امرأة: كانت بحجم برتقالة! (صور)
منوعات
2023-11-25 | 05:20
مشاهدات عالية
شارك
شارك
2
min
في لبنان... أطباء يزيلون "حصوة مهبلية" نادرة من حوض امرأة: كانت بحجم برتقالة! (صور)
في لبنان... أطباء يزيلون "حصوة مهبلية" نادرة من حوض امرأة: كانت بحجم برتقالة! (صور)
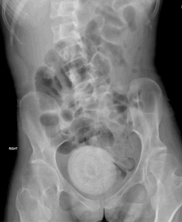
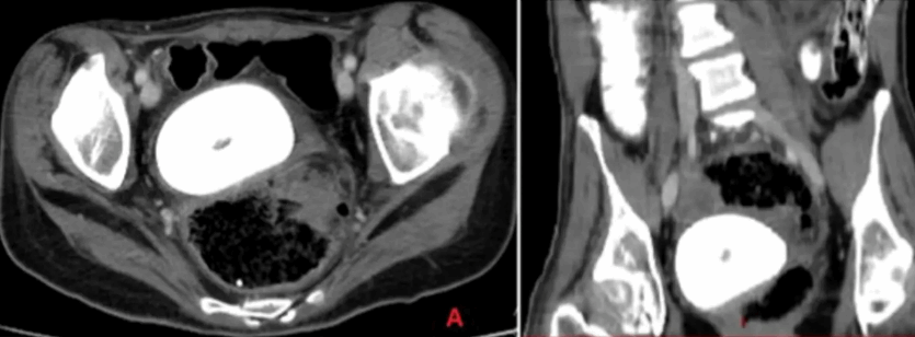
عثر أطباء في لبنان على حجر مهبلي نادر للغاية – بحجم برتقالة – موجود في حوض امرأة.
دراسة حالة حديثة نشرت في مجلة
Urology Case Reports
تناولت بالتفصيل الاكتشاف الاستثنائي - في هذه الحالة، لدى امرأة طريحة الفراش تبلغ من العمر 27 عامًا مصابة بالشلل الدماغي.
ويمكن أن تتشكل حصوات المهبل بطريقتين: عندما يتراكم البول في المهبل، أو عندما تتسبب عدوى بكتيرية غير معالجة في تصلب البول.
وفي حالة الشابة البالغة من العمر 27 عامًا، لم يتم العثور على أي عدوى بكتيرية، وكان ركود البول هو السبب الرئيسي، وفق ما نقل موقع
نيويورك بوست
.
وكان لدى المرأة تاريخ من سلس البول، وهو أمر شائع لدى الأشخاص المصابين بالشلل الدماغي ويمكن أن يؤدي إلى تسرب البول في المهبل.
وقد لوحظت الأعراض قبل ثلاثة أيام من نقل المريضة إلى غرفة الطوارئ. كانت تعاني من الحمى والقشعريرة والقيء وآلام في البطن وانخفاض الشهية.
وكشف التصوير المقطعي للحوض والبطن عن السبب.
وتتشكل حصوات المهبل "عن طريق ترسب الأملاح غير العضوية عن طريق البول الراكد داخل المهبل"، وفقًا لورقة بحثية نُشرت عام 2019 في مجلة الطب. وقال الباحثون إنه بسبب ندرة هذه الحالة، فقد تم تشخيصها بشكل خاطئ في كثير من الأحيان في الماضي.
وكان التكوين كبيرًا جدًا لدرجة أنه كان يضغط على مثانة المرأة، مما أدى إلى المزيد من تسرب البول.
وقام أطباء من الجامعة اللبنانية في بيروت بفك التشكيل باستخدام العلاج بالليزر عبر الموجات فوق الصوتية من جهاز تم وضعه على بطن المرأة.
ثم استخدم الأطباء الملقط لإزالة الشظايا في إجراء مدته ثلاث ساعات.
وبعد العملية، خرجت المرأة من المستشفى ووضعت لها المضادات الحيوية.
يقول مؤلفو دراسة الحالة انه نظرًا لأن الأشخاص المصابين بالشلل الدماغي هم أكثر عرضة للمعاناة من سلس البول، وبالتالي فهم أكثر عرضة لخطر الإصابة بحصوات مهبلية، فيجب أن يخضعوا لفحوصات نسائية روتينية، يتبعها تصوير بالأشعة السينية، إذا كانت الحصوات يشتبه.
آخر الأخبار
منوعات
لبنان...
أطباء
يزيلون
"حصوة
مهبلية"
نادرة
امرأة:
برتقالة!
(صور)
التالي
جورجينا رودريغيز تستعرض خاتم خطوبتها الضخم في مهرجان البندقية السينمائي (فيديو)
اخترنا لكم
d-none hideMe
0
منوعات
10:09
موظفو متحف اللوفر في باريس يصوتون "بالإجماع" على مواصلة الإضراب
منوعات
10:09
موظفو متحف اللوفر في باريس يصوتون "بالإجماع" على مواصلة الإضراب
0
منوعات
09:00
اختفى والده منذ 1963… عرّافة كشفت السرّ: رفاته كانت مدفونة تحت منزل العائلة وهذه الحقيقة الصادمة
منوعات
09:00
اختفى والده منذ 1963… عرّافة كشفت السرّ: رفاته كانت مدفونة تحت منزل العائلة وهذه الحقيقة الصادمة
0
منوعات
08:38
في اليوم العالمي للشاي... صدفة أدت الى اكتشافه منذ 4000 سنة: إليكم قصة المشروب الأكثر شعبية في العالم
منوعات
08:38
في اليوم العالمي للشاي... صدفة أدت الى اكتشافه منذ 4000 سنة: إليكم قصة المشروب الأكثر شعبية في العالم
0
منوعات
08:18
"إذا حصل لي شيء ستعرفين مع من كنت"... التقط لها صورتها الأخيرة ثم نفذ انتقامه: إليكم ما حصل (صورة)
منوعات
08:18
"إذا حصل لي شيء ستعرفين مع من كنت"... التقط لها صورتها الأخيرة ثم نفذ انتقامه: إليكم ما حصل (صورة)
إشترك لمشاهدة الفيديوهات عبر الانترنت
إشترك
زوارنا يقرأون الآن
d-none hideMe
0
اخبار البرامج
2025-12-13
بريجيت ياغي تعود إلى الشاشة بعد غياب في "كل ليلة عيد"... وهذا ما كشفته عن حياتها العائلية والفنية!
اخبار البرامج
2025-12-13
بريجيت ياغي تعود إلى الشاشة بعد غياب في "كل ليلة عيد"... وهذا ما كشفته عن حياتها العائلية والفنية!
0
أمن وقضاء
2025-09-24
مروّجا مخدّرات أحدهما مطلوب للقضاء في قبضة شعبة المعلومات...
أمن وقضاء
2025-09-24
مروّجا مخدّرات أحدهما مطلوب للقضاء في قبضة شعبة المعلومات...
0
أخبار لبنان
2025-12-06
اضاءة شجرة الميلاد في مدينة البترون
أخبار لبنان
2025-12-06
اضاءة شجرة الميلاد في مدينة البترون
0
أمن وقضاء
2025-12-08
إشكال عند دوار القناية على خلفية مسيرة سيارات والجيش يتدخل لفضّ الاشتباك (فيديو)
أمن وقضاء
2025-12-08
إشكال عند دوار القناية على خلفية مسيرة سيارات والجيش يتدخل لفضّ الاشتباك (فيديو)
بالفيديو
d-none hideMe
0
تقارير نشرة الاخبار
08:03
باراك في تل أبيب... ما أسباب الزيارة؟
تقارير نشرة الاخبار
08:03
باراك في تل أبيب... ما أسباب الزيارة؟
0
أخبار دولية
07:54
الـLBCI تواصلت مع أحد أقرباء أحمد الأحمد الذي أوقف الهجوم في أستراليا
أخبار دولية
07:54
الـLBCI تواصلت مع أحد أقرباء أحمد الأحمد الذي أوقف الهجوم في أستراليا
0
تقارير نشرة الاخبار
07:43
"بكبسة زر… تأكد أنه الأصلي"... وزارة الصحة تطلق النسخة الجديدة من تطبيقها الخليوي
تقارير نشرة الاخبار
07:43
"بكبسة زر… تأكد أنه الأصلي"... وزارة الصحة تطلق النسخة الجديدة من تطبيقها الخليوي
0
أخبار لبنان
06:39
سلام يحذّر: هذه العوامل باتت تشكّل تهديداً
أخبار لبنان
06:39
سلام يحذّر: هذه العوامل باتت تشكّل تهديداً
0
أخبار لبنان
05:43
الحجار جال في المطار ونوّه بالتطور على مستوى الخدمات: تنسيق يومي مع المعنيين للمزيد من التحسين عشية الاعياد
أخبار لبنان
05:43
الحجار جال في المطار ونوّه بالتطور على مستوى الخدمات: تنسيق يومي مع المعنيين للمزيد من التحسين عشية الاعياد
0
آخر الأخبار
03:46
مفتي أستراليا الشيخ رياض الرفاعي للـLBCI: وجود أحمد الأحمد على شاطئ بوندي كان طبيعيًا وتصديه للمعتدي كان عملًا بطوليًا فدائيًا غير متوقّع وكاد أن يُقتل خلاله
آخر الأخبار
03:46
مفتي أستراليا الشيخ رياض الرفاعي للـLBCI: وجود أحمد الأحمد على شاطئ بوندي كان طبيعيًا وتصديه للمعتدي كان عملًا بطوليًا فدائيًا غير متوقّع وكاد أن يُقتل خلاله
0
آخر الأخبار
03:26
مفتي أوستراليا الشيخ رياض الرفاعي للـLBCI: لم يكن من جوّنا ولا من أخلاقنا مثل هذه الاعمال الاجرامية ونستغرب الحدث ونضعه في خانة التخريب على المجتمع الاوسترالي وامننا واستقرارنا لأن هذا الوطن مزيج من التعايش
آخر الأخبار
03:26
مفتي أوستراليا الشيخ رياض الرفاعي للـLBCI: لم يكن من جوّنا ولا من أخلاقنا مثل هذه الاعمال الاجرامية ونستغرب الحدث ونضعه في خانة التخريب على المجتمع الاوسترالي وامننا واستقرارنا لأن هذا الوطن مزيج من التعايش
0
أخبار لبنان
14:01
مدينة زحلة تضيء شجرة عيد الميلاد
أخبار لبنان
14:01
مدينة زحلة تضيء شجرة عيد الميلاد
0
تقارير نشرة الاخبار
13:58
الميلاد في لبنان قصة حب وفرح وأمل
تقارير نشرة الاخبار
13:58
الميلاد في لبنان قصة حب وفرح وأمل
الأكثر قراءة
d-none hideMe
24 ساعة
7 أيام
شهر
1
أخبار دولية
15:57
الشرطة الأسترالية: منفّذا عملية إطلاق النار في سيدني هما والد وابنه
أخبار دولية
15:57
الشرطة الأسترالية: منفّذا عملية إطلاق النار في سيدني هما والد وابنه
2
حال الطقس
00:43
أمطار متفرقة وانخفاض كبير بدرجات الحرارة وثلوج على الجبال... هذه تفاصيل الطقس
حال الطقس
00:43
أمطار متفرقة وانخفاض كبير بدرجات الحرارة وثلوج على الجبال... هذه تفاصيل الطقس
3
اقتصاد
00:23
كتاب مفتوح من جمعية المصارف إلى الرؤساء والوزراء والمودعين... هذا ما جاء فيه
اقتصاد
00:23
كتاب مفتوح من جمعية المصارف إلى الرؤساء والوزراء والمودعين... هذا ما جاء فيه
4
أخبار لبنان
04:30
"جواز مرور" للسيارات الفارهة... تحقيق يكشف استغلال بطاقات "الشؤون" للتهرّب الجمركي وذوو الإعاقة "الضحية"
أخبار لبنان
04:30
"جواز مرور" للسيارات الفارهة... تحقيق يكشف استغلال بطاقات "الشؤون" للتهرّب الجمركي وذوو الإعاقة "الضحية"
5
أمن وقضاء
07:07
جولة للجيش في قطاع جنوب الليطاني... هذه تفاصيلها
أمن وقضاء
07:07
جولة للجيش في قطاع جنوب الليطاني... هذه تفاصيلها
6
أمن وقضاء
08:11
معلومات للـLBCI: هذا ما تضمّنه العرض الذي قدّمه الجيش اللبناني للسفراء والملحقين العسكريين جنوب الليطاني..
أمن وقضاء
08:11
معلومات للـLBCI: هذا ما تضمّنه العرض الذي قدّمه الجيش اللبناني للسفراء والملحقين العسكريين جنوب الليطاني..
7
تقارير نشرة الاخبار
13:42
بهذه الحالات أموالك مشطوبة
تقارير نشرة الاخبار
13:42
بهذه الحالات أموالك مشطوبة
8
اقتصاد
08:02
مصادر مالية: سلام يصر على إنجاز صيغة مشروع قانون الفجوة المالية في خلال ٤٨ ساعة على أبعد تقدير
اقتصاد
08:02
مصادر مالية: سلام يصر على إنجاز صيغة مشروع قانون الفجوة المالية في خلال ٤٨ ساعة على أبعد تقدير
حمل الآن تطبيق LBCI للهواتف المحمولة
للإطلاع على أخر الأخبار أحدث البرامج اليومية في لبنان والعالم
Google Play
App Store
We use
cookies
We use
cookies
to make
your experience on this
website better.
Accept
Learn More